To Fluoridate or Not to Fluoridate?

 

We’re busting myths and clearing up rumors surrounding the controversial mineral

Fluoride is an important mineral that protects and strengthens our teeth. You can find it in your dental hygiene products – just make sure it has the ADA seal of approval!

If you’ve been to the dentist recently, you’ve probably been asked if you’d like a fluoride treatment sometime during your visit. Some may decline because they don’t think they need it as an adult. Others may decline due to fear of the “bad things” they’ve heard about it.

We’re talking all things fluoride – the helpful mineral that has protected our teeth for decades. In this blog, we’ll be explaining:

  • What it is

  • If it’s safe

  • The truth behind common rumors

  • Why everyone can benefit from fluoride treatments, and more!

What Exactly Is It?

Most people are aware of fluoride in our drinking water and oral hygiene products, but did you know this mineral is also found organically in water, soil, plants, rocks, and even the air itself? Originating from the element fluorine, this mineral is one of a few that our bodies only need a specific amount of to keep you healthy. This natural cavity-fighter helps a wide variety of dental issues including:

  • Rebuilding weakened tooth enamel

  • Slow down the loss of mineral from tooth enamel

  • Reverse early signs and symptoms of tooth decay

  • Stops the growth of harmful oral bacteria

  • Keeps bones healthy by improving density and hardness

  • Strengthens tooth enamel during their growth and development


Michigan is responsible for introducing community fluoridation! In 1945, Grand Rapids officially added the mineral to their water supply.

FUN FACT:

The CDC announced that community water fluoridation is one of the ten greatest public health achievements of the 20th century. Water fluoridation continues to prevent tooth decay by at least 25% in both children and adults!


So how much does one need?

Most adults don’t have to worry about getting too much or too little fluoride into their everyday life, it’s children that often have the most difficulties with excessive amounts.

                Children Under 3 should use only an amount of toothpaste roughly the size of a grain of rice.

                Children 3 – 6 should not use more than a pea-sized amount of toothpaste.

It is important to note that children 6 years of age or younger should not use fluoride mouthwash unless recommended by a dentist as they have the tendency to swallow it rather than spit it out. Children should also have 2 – 4 fluoride treatments annually. This amount will vary depending on your child’s overall health and likelihood to develop cavities.

Is it Safe?

One of the most common misconceptions about fluoride is that it is harmful to our bodies, but this is not true. The only real harm that can come is a condition called dental fluorosis found in children that consume too much of the mineral while their teeth are still forming underneath the gums. As for older children and adults, high levels over the years can weaken the bones and lead to pain and stiffness, though this is incredibly rare, especially in the United States.  

Tooth decay doesn’t have to ruin your smile. With regular use of fluoride products and treatments, your teeth can stay strong and healthy for a lifetime!


DID YOU KNOW

Deficiency of fluoride is not a risk for the general population! We get most of our recommended doses through natural diet and regular usage of oral hygiene products.


CAN YOU BELIEVE IT?

The truth behind common myths about fluoride


Using it reduces your IQ

FICTION

While some claim a recent study proves the connection between IQ and fluoride, there is no evidence suggesting that use of fluoride relates to IQ scores.


It’s not safe to swallow

FACT

Swallowing fluoride can lead to dental fluorosis which is caused by high levels of the mineral in the blood. This condition can cause permanent damage to our teeth, especially for developing children.


It’s a dangerous chemical/poison

FICTION

Fluoride is not a chemical or poison, but is a natural mineral already found in our bodies and the world around us.


Adults don’t require it

FICTION

Adults benefit too! Studies show that topical fluoride – such as toothpastes and mouthwash – are just as important in fighting tooth decay as they are strengthening developing teeth.


It makes people docile

FICTION

Like the rumor linking fluoride to IQ levels, there is no evidence that fluoride causes docile behavior or personalities.


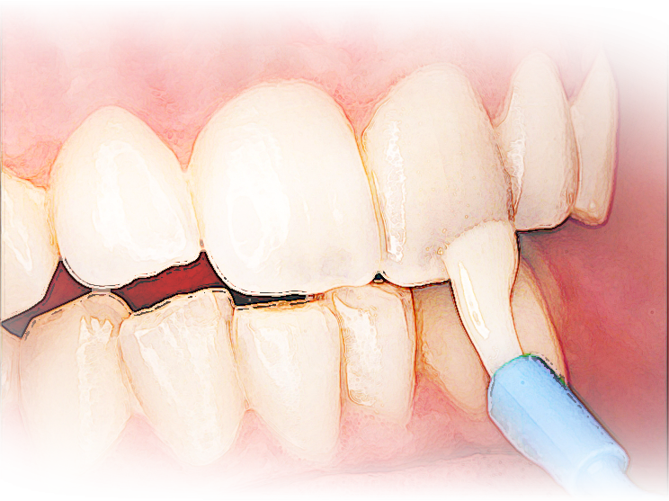
Fluoride’s Role in Dental Care

Fluoride treatments are fast, easy, and painless! The special varnish includes concentrated amounts of the mineral to give your smile extra protection against decay.

Thanks to technological advancements through the years, fluoride treatments are incredibly effective and easy to apply. Your dental hygienist simply paints a highly concentrated fluoridated gel over the tooth’s surface toward the end of your visit which provides added protection until your next appointment.

Remember that using fluoridated products is highly recommended by dentists for a strong and healthy smile. If you have any concerns regarding fluoride, its health benefits, or something else, talk to us! We’d be more than happy to answer your questions.


Here are some other articles you may enjoy reading!

What Kind of Toothpaste Should I Use?

The different kinds of toothpastes and how each one benefits your smile.


Are You Brushing Your Teeth Correctly?

A great recap for everyone! Learn the proper techniques of brushing and flossing your teeth.


Saving Your Child’s Smile

What you need to know about childhood cavities and tooth decay.